MRI검사가 모든 병 진단에
가장 좋은 검사일까?
글 : 민트병원 이미징센터 김영선 원장/의학박사(영상의학과 전문의)
MRI(자기공명영상)는 가장 고비용의, 설치 및 운용이 까다롭고 검사 시간이 오래 걸리는 영상검사법입니다. MRI는 대개 가장 우수한 진단 능력을 보여주지만 때로는 CT 혹은 초음파가 보다 더 우수한 진단을 제공하는 경우도 있습니다. 따라서 상황별로 적절한 검사를 활용하는 것이 중요합니다. 각 영상검사법 중 어떨 때 가장 좋은지를 다뤄보겠습니다.
MRI, CT, 초음파의 원리
MRI, CT, 초음파검사 적용의 차이점을 알아보기 위해 우선 각 검사법의 원리부터 간략하게 알아보겠습니다.
◆ 초음파
음파가 각 조직에서 반사되거나 흡수되는 차이를 검출하는 방식. 초음파를 반사(뼈, 공기) 시키면 하얗게 되고 통과(물) 시키면 까맣게 구현됨.
◆ CT
X선이 조직을 통과하면서 약해지는 정도(밀도, 분자량) 차이를 검출하는 방식. 그래서 뼈는 하얗게, 지방은 어둡게, 물은 중간색, 공기는 까맣게 구현됨.
◆ MRI
강한 자기장을 이용해 각 조직 내 분자들이 전자기적으로 반응하는 양상의 차이를 검출함. 조직 특성에 따라 다양한 색깔로 구현됨.
MRI, CT, 초음파의 검사방식
◆ 초음파
초음파 검사장비(probe)는 손에 잡힐 정도로 작고 검사 중에는 아무런 느낌이 없습니다. 단, 초음파를 몸속으로 전달하기 위해 피부에 젤을 바르고 장치를 검사부위 피부에 밀착한 뒤 이리저리 조절하면 그 부위 단면 영상이 실시간으로 화면에 나타납니다. 검사자가 실시간으로 화면을 보면서 위치, 각도를 조정하기 때문에 병변의 검출과 해석은 검사자의 능력과 경험에 따라 많이 달라집니다. 검사용 초음파는 인체에 무해하며 임신 초기에도 많이 사용합니다. 크기가 가장 작고 비용이 경제적이어서 접근성이 가장 좋습니다.
영상의학과 전문의가 복부초음파검사를 하는 모습 / 환자는 편안한 자세
◆ CT
MRI와 비슷하지만 조금 작은 원통에는 X선 발생 및 검출장치가 있고 이것이 돌면서 몸에 X선을 쏘아줍니다. 회전속도가 빠르고 최근에는 다중채널 방식이 발달되어 검사속도가 매우 빠릅니다. 검사 중에는 회전하는 우웅~하는 비교적 조용한 소리가 생기고 테이플이 천천히 이동합니다. MRI처럼 단면영상을 볼 수 있는 몸의 길이에 직각 방향 영상이 만들어집니다. 이후 다양한 방향으로 영상을 재구성할 수 있습니다. X선을 사용하기 때문에 인체에 유해할 수 있습니다. 영상의 해상도는 CT가 MRI보다 더 우수합니다.
◆ MRI
몸이 들어가는 큰 원통에는 아주 강력한 전자석이 있습니다. 그 안에 누워 있으면 다양한 방식으로 만들어진 자기장이 몸에 가해지고 각 조직분자의 반응을 다양한 방식으로 측정합니다. 때로는 코일이라는 장치를 몸에 붙이고 검사합니다. 검사 시간이 오래 걸리고, 매우 시끄러운 소리가 발생합니다. (귀마개 필요) 이를 통해 다양한 각도의 단면영상을 볼 수 있습니다. 자기장은 방사선처럼 인체에 해를 끼치지 않습니다.

민트병원 이미징센터 - 필립스 인제니아 3.0T MRI
조영제
조영제는 '영상의 대조도를 높여주는 약제'를 의미합니다. CT의 경우 연부조직의 밀도는 거의 비슷하므로 조영제를 사용하지 않으면 모든 장기가 비슷한 색깔로 보이고 종양도 구분이 거의 되지 않습니다. 그러나 혈관주사로 조영제(요오드 성분, CT상 하얗게 보임)를 주입하면 혈류가 비정상적으론 높거나 낮으면 주변 정상조직과 구별되어 보입니다. 따라서 대부분의 CT검사는 조영제 사용이 필수적입니다. 단, 결석(담낭, 신장, 요관, 방광 등)은 자체적으로 높은 밀도로 인해 하얗게 보이므로 조영제 없이 진단이 가능합니다. 비슷한 이유로 골절 진단 시에도 조영제 없이 검사합니다.
MRI는 조영제를 쓰지 않더라도 연부조직 간 색깔이 달리 보이기 때문에 어느 정도 진단이 가능합니다. 예를 들어 췌장이 정상인지, 종양이 있는지를 보거나 자궁근종의 위치나 크기, 조직 특성을 파악하는 목적이라면 조영제 없이도 평가가 가능합니다. 간의 단순낭종이나 혈관종은 암과 조직특성이 다르므로 조영제 없이 구별됩니다. 하지만 MRI도 조영제(가돌리늄 성분)가 필요한 경우가 있는데 이는 혈류 분포를 파악하는 목적으로 시행합니다. 예를들으 간의 대부분의 암은 비슷한 색으로 관찰되는데 종류에 따라 혈관분포가 다르기 때문에 조영제를 쓰면 간세포암인지 간전이암인지를 구별할 수 있습니다. 다시 말해 MRI 조영제는 종양의 감별 진단, 염증이나 괴사 정도 평가를 위해 시행하는 경우가 많습니다.
각 검사의 대상 질환
위와 같은 차이들로 인해 특정 상황에서 특정 질환이 유리한 검사가 있습니다. 그래서 MRI가 가장 좋고 비싼 검사로 알려져 있고 대부분의 경우 그러하지만 항상 MRI가 가장 좋은 것은 아니고 심지어 초음파가 해결 수단이 되는 경우도 있습니다. 매우 다양한 상황들이 존재하지만 몇 가지 원칙은 다음과 같습니다.
첫째, 고정된 장기(움직이지 않는 장기)는 MRI가 가장 유리하지만 움직이는 장기에는 MRI가 불리합니다.
따라서 움직임이 없는 장기인 뇌, 척추, 관절 등은 MRI가 가장 우수한 진단율을 보입니다. 최근 기술의 발달로 움직임이 있으나 일시적으로 이를 억제할 수 있거나 움직임이 규칙적인 경우에도 MRI를 찍을 수 있습니다. 그래서 상복부 장기(간, 담도, 췌장, 신장 등)는 호흡의 영향을 받아 움직이지만 일정 시간 호흡을 참거나 규칙적으로 호흡 시에 MRI로 영상화가 가능합니다. 하지만 위, 소장, 대장(직장 제외)과 같은 장기는 연동운동이 불규칙해 일반적으로는 MRI의 검사 대상이 아니고 빠른 시간에 검사가 가능한 CT가 주로 사용됩니다. 빠른 속도 및 움직이는 장기가 많다는 점에서 복부 전체를 검사하는데는 MRI보다 CT를 더 많이 이용하게 됩니다.
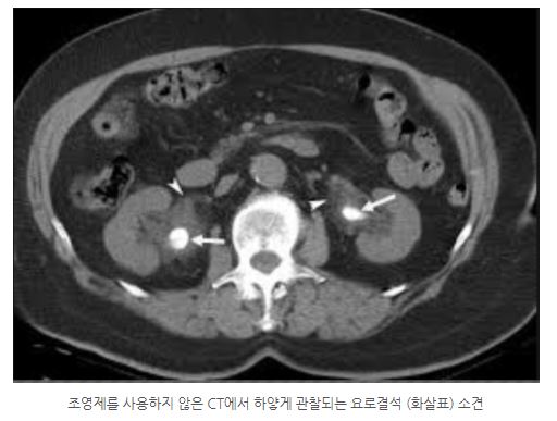
둘째, 석회화 및 공기의 검출이 중요한 경우 CT가 가장 우수한 능력을 보입니다.
담낭/담도결석, 요로결석과 같은 석회화 병변은 밀도가 높아 CT에서는 하얗게 보이는데 뼈를 제외한 대부분의 생체조직의 밀도와는 다르기에 조영제를 쓰지 않고도 CT에서 잘 관찰됩니다. 이런 병변들은 MRI에서 까맣게 보여 주변과 잘 구별되지 않습니다. 비슷한 이유로 골절 진단에도 CT가 더 우수합니다. 이와는 반대인 공기의 경우 CT에서는 까맣게 보이는데 MRI에서는 영상의 왜곡을 유발합니다. 그래서 예를 들어 장천공처럼 복강에 없어야 할 공기를 찾아내는 데는 CT가 더 우수할 수 있습니다. 비슷한 상황으로 폐는 공기가 주성분이라 MRI의 역할이 적고, CT가 훨씬 우수합니다. CT의 해상도가 MRI보다 높다는 점도 중요한 이유입니다.
셋째, 초음파는 가장 널리 보급되어 있고 간편히 시행할 수 있으며 인체에도 무해한 장점을 지닙니다.
하지만, 초음파가 도달할 수 있는 깊이에 제한이 있고 깊어질수록 해상도가 떨어집니다. 따라서, 갑상선, 유방 같은 표재장기의 작은 병변 검출에는 초음파가 가장 우수합니다. 또한 초음파는 검사 중 환자 상호작용(자세 변화, 호흡 조절, 압박 등)을 할 수 있는데 이러한 특성이 진단에 중요한 경우도 있습니다. 예를 들어, 담낭결석과 담낭용종의 구별이 어려운 경우 병변이 자세 변화를 통해 움직이는지를 보면 둘 사이를 구별할 수 있습니다. 또한, 초음파는 실시간으로 움직임을 관찰할 수 있기 때문에 이러한 점이 간혹 진단에 도움이 되는 경우도 있습니다.
결언
MRI는 가장 고비용의 평균 진단능력이 가장 뛰어난 검사임은 분명합니다. 하지만, 위처럼 다양한 상황에 따라 CT나 초음파가 더 우수한 진단능력을 보여주는 경우도 있습니다.
대상 질환도 그렇지만 간혹 환자의 상황에 따라 가장 좋은 검사방법이 바뀌기도 합니다. 예를 들어, 폐소공포증이 심한 사람은 MRI검사를 받을 수 없고, 중환자의 경우 긴 시간이 필요한 MRI는 어려운 경우가 많습니다.
이러한 복잡한 각각의 상황에 대비해 비전문가가 판단하기에는 여러 제한이 있습니다. 따라서 임상경험이 풍부한 의사나 영상의학과 전문의의 역할이 중요하고, 환자의 상황에 대한 분석 및 상담 후 검사방법을 결정하는 것이 매우 중요합니다.